송파구 가락동에서
치과 선택의 기준이 되겠습니다.
연세대학교 세브란스 치과대학병원과 동일한 수준의 진료 품질과 시스템으로 진료합니다.
숙련된 의료진과 최첨단 의료장비를 통해 결과로 보여드리겠습니다.
연세대·서울대 출신의
숙련된 의료진 각 분야별 협진
전문성을 바탕으로 처음부터 끝까지 양질의 진료를 제공하고,
환자의 마음까지 들여다보며 눈높이에 맞춘 책임진료를 제공해드리겠습니다.
치과공포증으로 힘드셨나요?
수면치과치료 의식하진정요법
환자들의 심리적인 부담을 덜어드리고자
수면마취치료를 통해 더욱 안전하고 편하게 진료를 받으실 수 있습니다.
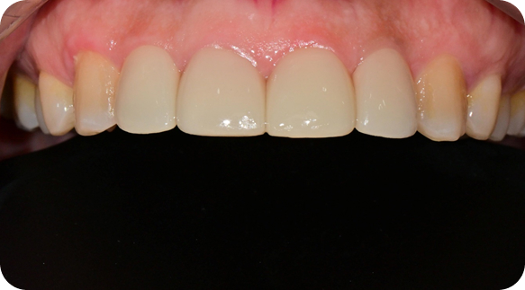
자연치아를 최대한 살려
자연스럽고 심미적인 무삭제 라미네이트
기존 삭제량이 많은 일반 라미네이트와 달리
아주 얇은 형태의 0.1mm 세라믹 비니어를 부착하여 자연스럽게 아름다워진 미소를 완성해보세요.
빠른 일상 복귀가 가능한
무절개 임플란트
절개가 없는 임플란트 수술방법을 통해
줄어든 통증과 빠른 회복을 경험하고 일상에 복귀하세요.
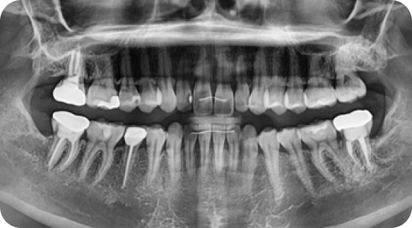
대학병원까지 갈 필요없는
고난도 사랑니 당일 발치
보건복지부에서 인증한 숙련된 통합치의학과 전문의 대표원장이
고난도 사랑니 발치를 안전하게 내원 당일 빼드립니다.
다수의 수상이력과 언론 건강자문 경력을
보유한 서호연 대표원장
보건복지부장관상과 김천시 표창장을 수상한 이력과 JTBC 굿모닝 라이프 & MTN 머니투데이
방송출연 및 의료자문 경험이 있는 신뢰할 수 있는 치과입니다.



